La tomodensitométrie pour détecter des porteurs asymptomatiques de la COVID-19?

19 mai 2020

Notre équipe éditoriale travaille de la maison à une série d’articles au sujet du coronavirus. Ce texte, le deuxième de la série, porte sur une étude qui propose d’utiliser l’imagerie médicale pour détecter la COVID-19.

CT scanner at the UOHI.
L’appareil de tomodensitométrie (tomodensitomètre), que l’on compare parfois à un « beigne », dispose d’une large ouverture dans laquelle s’insère une plateforme (table d’imagerie).

La tomodensitométrie (TDM) est une technique d’imagerie à rayons X qui crée des images transversales 3D des os, des vaisseaux sanguins et des tissus mous. Les cardiologues l’utilisent pour diagnostiquer ou surveiller une maladie ou une affection cardiaque, recueillir de l’information en vue d’une intervention, détecter des lésions internes ou évaluer l’efficacité d’un traitement.

Les médecins de l’Institut de cardiologie de l’Université d’Ottawa (ICUO) explorent maintenant une nouvelle application de la TDM qui pourrait bientôt s’avérer très utile dans les efforts pour limiter la propagation du coronavirus.

Dr. Andrew Crean, UOHI
Le Dr Crean s’intéresse à l’application de l’imagerie cardiaque transversale et de l’imagerie moléculaire à toutes les formes de maladies cardiaques. Il fait partie d’une équipe de l’ICUO et de L’Hôpital d’Ottawa qui associe la radiothérapie et la cardiologie pour traiter les maladies cardiaques.

« Un patient qui présente des symptômes de COVID-19 à son arrivée à l’hôpital subira sans doute une tomodensitométrie et un prélèvement naso-pharyngé », explique le Dr Andrew Crean, codirecteur du service d’IRM cardiaque à l’ICUO. Selon lui, toutefois, la question demeure : que faire avec les patients asymptomatiques ou dont les symptômes sont très légers?

« On voit de plus en plus de résultats positifs à la COVID-19 chez des personnes asymptomatiques », explique le Dr Crean. Il est important de pouvoir reconnaître ces personnes, sinon elles risquent de se présenter à l’hôpital sans savoir qu’elles peuvent transmettre la maladie. »

Le Dr Crean et ses collègues de l’ICUO étudient l’efficacité potentielle de la tomodensitométrie comme première étape pour dépister la COVID-19.

Nous étudions la possibilité d’offrir la tomodensitométrie à toute personne admise à l’ICUO, quels que soient ses antécédents médicaux ou sa situation par rapport au coronavirus. 
- Dr Andrew Crean, ICUO

« Nous étudions la possibilité d’offrir la tomodensitométrie à toute personne admise à l’ICUO, quels que soient ses antécédents médicaux ou sa situation par rapport au coronavirus », explique-t-il.

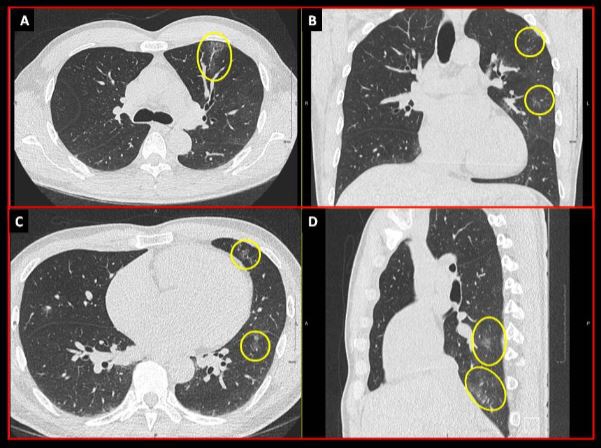
Ground glass opacities observed on X-ray image.
Sur cette radiographie thoracique, on peut voir de minuscules « opacités en verre dépoli », encerclées en jaune. Ces taches grises et floues ne masquent pas les autres structures sur un tomodensitogramme. Les scientifiques croient qu’elles pourraient indiquer la présence d’une pneumonie liée à la COVID-19 ou d’une inflammation des poumons causée par l’infection virale.

En ce moment, la prévalence de la COVID-19 à Ottawa est assez faible quand on se compare à des épicentres comme New York, Montréal, l’Italie ou l’Angleterre. Toutefois, comme la maladie est de plus en plus présente dans la communauté, le Dr Crean s’attend à ce que l’étude permette de trouver encore plus de porteurs du virus.

« Ce qui est bien, c’est que nous avons commencé tôt, conclut le médecin. L’ICUO sera mieux en mesure de détecter les porteurs potentiels du virus et de bien les soigner tout en les empêchant d’infecter d’autres personnes. »

COVID-19 – Ressources

Des hôpitaux de partout dans le monde annulent ou reportent les interventions et les examens non urgents afin de prévenir la propagation du virus. Les patients se tournent également vers des options de télésanté pour obtenir des soins ou des conseils; ils évitent ainsi l’hôpital, où ils craignent d’attraper la COVID-19 ou de la transmettre eux-mêmes à leur insu. On constate aussi que les patients ayant subi une crise cardiaque ou un accident vasculaire cérébral ont pratiquement disparu des hôpitaux, ce qui marque un changement sans précédent dans la demande de services hospitaliers imposée par la pandémie.

Sur son site web, l’ICUO demande à tous ceux qui ressentent des symptômes cardiaques de ne pas tarder à obtenir de l’aide médicale d’urgence. Des soins trop tardifs pourraient avoir des conséquences à long terme sur le résultat des traitements.

Téléchargez et partagez ce document infographique (PDF) conçu par l’ICUO, et consultez ce site, où vous trouverez des nouvelles et des ressources utiles sur la COVID-19, des conseils pour demeurer en sécurité et en santé pendant la pandémie, et des réponses à vos questions sur les répercussions du virus sur votre santé cardiaque.