TEP de viabilité myocardique

(Aussi appelée : Tomographie par émission de positons de viabilité myocardique, TEP au FDG)

Objet

La tomographie par émission de positons (TEP) de viabilité myocardique peut être utilisé pour évaluer les dommages causés au muscle cardiaque par une maladie du cœur ou une crise cardiaque et de déterminer si une angiographie, un pontage coronarien, une transplantation cardiaque ou un autre type d’intervention est requis.

Détails

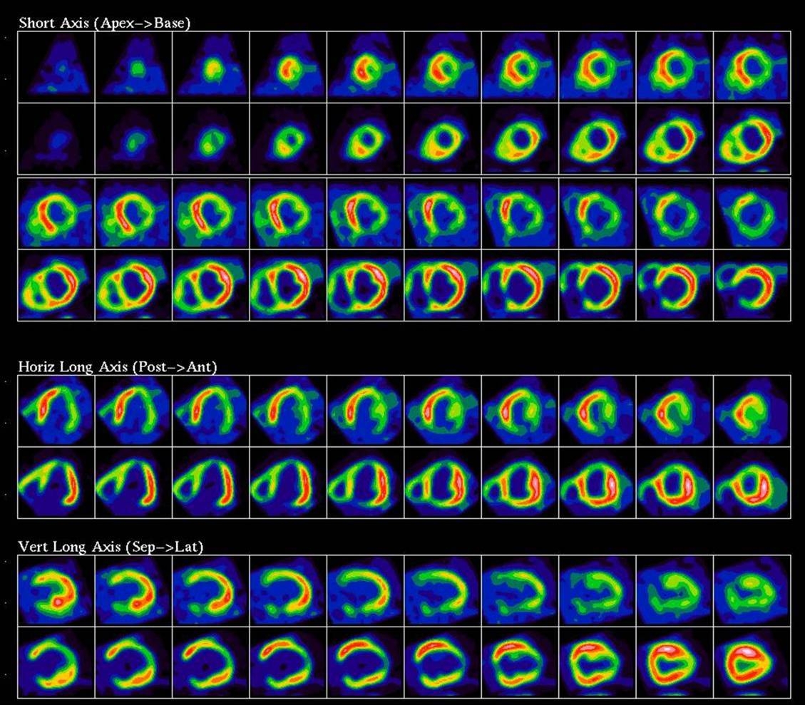
L’examen se déroule en deux parties. La première étape vise à mesurer le débit sanguin dans le cœur lorsqu’il est au repos. Pour ce faire, on utilise un indicateur radioactif. Cet indicateur se répand dans les vaisseaux sanguins et est absorbé par les tissus cardiaques. Une caméra TEP détecte les radiations émises par l’indicateur, ce qui permet de produire des images du cœur.

Lors de la deuxième partie de l’examen, on utilise un indicateur radioactif contenant du glucose (sucre), pour localiser les régions du cœur qui ont subi des lésions. Le FDG permet de visualiser le métabolisme du glucose par le cœur, le glucose étant un type de sucre que les cellules utilisent comme carburant. Les cellules endommagées ou détruites par une maladie du cœur ou une crise cardiaque ne métabolisent pas de glucose ou en métabolisent peu, alors que les cellules saines ou convalescentes en métabolisent davantage.

Les deux séries d’images sont analysées en même temps.

Description

  1. Un technologue ou une infirmière vous expliquera le déroulement de l’examen, vous interrogera brièvement sur vos antécédents médicaux et répondra à vos questions.
  2. Le technologue ou l’infirmière installera un cathéter intraveineux (petit tube flexible) dans une veine de chacun de vos bras.
  3. On vous emmènera ensuite dans la salle d’examen, et on vous demandera de vous allonger sur le dos sur la table d’imagerie de l’appareil.
  4. Des électrodes adhésives seront placées sur votre poitrine pour surveiller l’activité électrique de votre cœur à l’aide de l’électrocardiographie (ECG). On surveillera également votre tension artérielle.
  5. On vous injectera une faible quantité d'indicateur radioactif.
  6. On vous demandera alors de vous allonger, de placer les bras au-dessus de la tête et de demeurer immobile. L’acquisition des images du cœur dure de 25 à 30 minutes.
  7. Votre glycémie sera mesurée. Si vous êtes diabétique, une petite quantité d’insuline et de glucose vous sera administrée afin d’augmenter l’utilisation de glucose par les cellules. Si vous n’êtes pas diabétique, vous devrez boire une boisson à base de glucose (sucre). On vous demandera de patienter pendant environ une heure.
  8. On vous injectera ensuite une petite quantité d'un deuxième indicateur radioactif, auprès quoi vous devrez patienter pendant environ 45 minutes.
  9. On vous demandera encore une fois de vous allonger, de placer les bras au-dessus de la tête et de demeurer immobile. L’acquisition des images de votre cœur durera à nouveau de 25 à 30 minutes.
  10. Le technologue en médecine nucléaire traitera les résultats. Un médecin analysera ensuite les données et transmettra un rapport aux médecins qui participent à vos soins. 

Directives aux patients

Lors de la prise du rendez-vous

  • Si vous êtes claustrophobe, veuillez nous en informer ou parlez-en à votre médecin.
  • Si vous êtes diabétique, veuillez nous en aviser pour que nous puissions vous proposer une heure de rendez-vous adaptée.

Le jour de votre examen     

  • Ne mangez ni ne buvez rien (sauf de l’eau) pendant six heures avant votre examen.
  • Prenez vos autres médicaments normalement, sauf indication contraire de votre médecin. Apportez tous vos médicaments dans leurs flacons d’origine.

 Après votre examen

  • Vous pourrez recommencer à prendre vos médicaments normalement immédiatement après votre test.

Renseignements supplémentaires

  • À votre arrivée à l’Institut de cardiologie, veuillez vous présenter au bureau central d’enregistrement, dans l’entrée principale. Une fois enregistré, rendez-vous à la salle d’attente du niveau S et attendez qu’on vous appelle.
  • La durée de l’examen est d’environ trois heures.
  • Si vous avez des questions avant de subir votre TEP au FDG, veuillez appeler au 613-696-7066, du lundi au vendredi entre 8 h et 16 h.

Image interactive

Instructions : Cliquez n’importe où sur l’image et faites glisser la souris pour vous déplacer dans la pièce. Sur les appareils mobiles, faites glisser votre doigt sur l’écran pour vous déplacer, et pincez/étirez l’image avec deux doigts pour l’agrandir ou la réduire. Cliquez sur les zones sensibles (« i ») ou touchez-les avec votre doigt pour en savoir plus sur l’équipement dans la pièce et son utilisation.